Dark Black Line On Tooth: Is This An Emergency?

Have you spotted a dark black line on your tooth and are now wondering if it’s something serious, or even a dental emergency? You’re not alone. While it might look alarming, not every black line means immediate danger. However, it can be a sign that something in your mouth needs attention. Whether it’s a stain, tartar buildup, or something more serious like tooth decay, understanding the cause is the first step toward the right treatment.
Let’s break down what that black line could mean, when to worry, and what you should do next.
What is the Black Line on Tooth: Should You Be Worried?
A black line on a tooth is a visible dark mark that may appear near the gumline, between teeth, or on the chewing surface. While it can be caused by something as simple as surface stains, it can also indicate more serious dental concerns.
Common causes include:
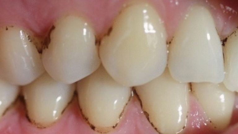
- Tartar Buildup
Hardened plaque, known as tartar, can appear black, especially along the gumline. This is often due to poor oral hygiene or missed cleanings. - Tooth Decay
A dark black line on the tooth may signal the beginning of a cavity. As enamel wears down and bacteria invade, decay can turn dark in color and spread if not treated. - Stains from Food, Drink, or Tobacco
Beverages like coffee, tea, and red wine, or habits such as smoking, can leave behind surface stains that look like dark lines. - Old Dental Restorations
Metal fillings or crowns may create a dark margin where the restoration meets the natural tooth, especially if gums have receded. - Natural Grooves or Pits
Some teeth naturally have deeper grooves that can trap plaque or appear darker in color, even if they are not decayed.
Is A Black Tooth An Emergency
A black tooth can be a serious warning sign and, in many cases, should be treated as a dental emergency. While not every black tooth causes immediate pain, it often indicates underlying problems such as deep decay, nerve damage, or infection. Ignoring it may lead to severe complications, including tooth loss or the spread of infection to surrounding tissues.
You should seek urgent dental care if the black tooth is accompanied by:
- Pain or sensitivity
- Swelling in the gums or face
- A foul taste or persistent bad breath
- Fever or difficulty opening the mouth
Even if there are no obvious symptoms, a black tooth is never normal and should be examined by a dentist promptly. Early diagnosis can help preserve the tooth and prevent more serious issues.
At Royal Dental Clinics, we offer same-day consultations and emergency dental treatments to restore both function and appearance, safely and efficiently. Don’t wait—contact us today to get expert care and resolve your black tooth concerns before they worsen
NEED SOLUTION? ENQUIRE NOW!
Address:
V Mall, 66, Western Express Hwy, Kandivali, Thakur Village, Kandivali East, Mumbai, Maharashtra 400101
Contact:
+91 9694446633
Got Questions?
How to remove black lines on teeth
Black lines on teeth can be unsightly and concerning, especially when they appear near the gumline or in between teeth. These lines may result from tartar buildup, tooth decay, or staining, and the right treatment depends on the underlying cause. Fortunately, there are effective ways to remove black lines on teeth and restore your smile.
1. Professional Dental Cleaning
If the black line is caused by tartar (calculus) or surface stains, a professional cleaning by a dentist or dental hygienist is the most effective solution. Scaling and polishing can safely remove hardened plaque and discoloration from the tooth surface and gumline.
2. Teeth Whitening
For black lines due to deep stains (from smoking, coffee, or certain foods), whitening treatments may help. Options include:
- In-clinic teeth whitening – Stronger, faster results under dental supervision
- Take-home whitening kits – Custom trays provided by your dentist for at-home use
Note: Whitening is not effective on tartar or decay and should only be used after a dental evaluation.
3. Tooth-Colored Fillings or Dental Bonding
If the black line is caused by early tooth decay, a small filling or dental bonding can be used to restore the area. These treatments blend seamlessly with your natural tooth color and prevent further damage.
4. Crown or Restoration Replacement
For patients with old metal crowns or fillings, black lines may appear at the margin due to gum recession or aging materials. Replacing these restorations with newer, more aesthetic options such as ceramic or zirconia crowns can eliminate dark lines and improve the overall appearance of your smile.
5. Good Oral Hygiene and Regular Checkups
To prevent black lines from returning:
- Brush twice a day with fluoride toothpaste
- Floss daily to remove plaque between teeth
- Avoid smoking and limit stain-causing foods and drinks
- Visit your dentist every 6 months for cleanings and early detection

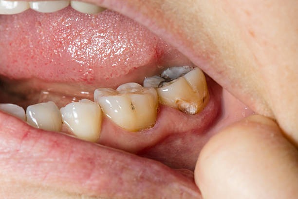
Black Lines in Molars: What Do They Mean?
Noticing black lines in your molars can be unsettling. These dark marks may appear in the grooves, pits, or between the back teeth and are often mistaken for cavities. While not always a cause for alarm, black lines in molars can indicate anything from harmless staining to the early stages of tooth decay.
Common Causes of Black Lines in Molars
1. Deep Grooves and Natural Staining
Molars naturally have deep grooves (fissures) that can trap food, plaque, and bacteria. Over time, these areas may become stained from coffee, tea, tobacco, or certain foods, especially if oral hygiene is inconsistent.
2. Early Tooth Decay (Pit and Fissure Caries)
Decay often begins in the deep pits of molars where brushing might not reach effectively. If left untreated, these black lines can progress into cavities, causing pain and infection.
3. Tartar Buildup
Plaque that is not removed hardens into tartar, which can appear dark or black in the back teeth. Tartar cannot be removed with regular brushing and needs professional cleaning.
4. Leaky Fillings or Old Dental Work
If you have older fillings, especially amalgam (silver) ones, you might notice dark margins around them. These may need to be checked for leakage or decay beneath the surface.
Noticed black lines on your molars? Don’t ignore them—they could be signs of early decay or enamel damage. Contact today for a same-day consultation and expert evaluation before it turns into a bigger problem.
Book Online Consultation Today
1. Complementary Intra-oral Scan
2. Complementary X-rays
3. Assistance in Travel & Hotel Booking
4. Facilitation for Hotel Discounts
Why Are My Wisdom Teeth Black?
Black wisdom teeth are not normal and usually indicate an underlying dental issue. The most common causes include:
- Tooth Decay: Wisdom teeth are hard to clean, making them prone to cavities that appear black or dark brown.
- Tartar Buildup: Hardened plaque near the gumline can turn dark over time.
- Staining: Smoking or frequent consumption of tea, coffee, or wine can lead to surface discoloration.
- Impacted or Infected Tooth: A partially erupted wisdom tooth can trap bacteria, leading to decay or infection.
- Dead Tooth (Pulp Necrosis): If the nerve dies, the tooth may turn grey or black from within.
Should You Be Concerned?
Yes. A black wisdom tooth may signal decay, infection, or other damage—even if there’s no pain. It’s best to have it examined early to avoid complications.
If you notice black discoloration on your wisdom tooth, don’t ignore it. Contact Royal Dental Clinics today for a thorough evaluation and same-day treatment to protect your smile and prevent further complications.
Need Dental Treatment but Live Abroad? Consider Dental Tourism in India
If you’re facing dental issues and are located outside of India, consider combining your treatment with travel through dental tourism in India. At Royal Dental Clinics, Mumbai, we specialize in same-day dental treatments, including implants, smile makeovers, and full-mouth rehabilitation—so you don’t need multiple visits or extended stays.
India offers world-class dental care at a fraction of international costs, with no compromise on quality, safety, or technology. Our team is experienced in treating international patients and ensures a seamless, comfortable experience from consultation to recovery.
- Save up to 70% on treatment costs
- Receive advanced care in just one day
- Enjoy personalized treatment planning and luxury dental suites
- Assistance with travel, stay, and aftercare
Your perfect smile is just one flight away.
Contact us today to learn how you can plan your dental trip to Mumbai, India—with results worth smiling about.
Busy Schedule? No Problem!
Dr. Chamria specializes in same-day dental treatments including dental implants, root canals, and smile makeovers. Patients from across Mumbai and even abroad trust his team for efficient and high-quality treatment – often completed in a single visit.
